É uma especialidade que tem como finalidade o auxílio na Medicina Legal, baseado na realização de imagens radiológicas com a indicação na análise e investigação das causas de óbitos, sendo um estudo radiográfico pós-morte para a complementação das autópsias.
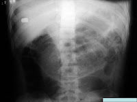
Algumas Imagens em Radiologia Forense:










Muito bom essa postagem gostaria de saber se vocêm mais material sobre o assunto a bastante tempo venho procurando informações sobre a Radiologia Forense e não encontro, fico no aguardo. Abraço!
ResponderExcluirEste comentário foi removido pelo autor.
ResponderExcluirOla... Boa noite!
ResponderExcluirGostaria do material sobre a Radiologia Forense.
Sou aluna CTC radiologia, tenho que pesquisar, vezes algumas pesquisas mas não é bem específico, meu profrosser é rígido, temos que se virar. Meu grupo esta com dificuldades e eu. Gostaria que pudesse me orienta se não demais. Preciso muito de ajudar, é uma ária muito boa que parte de criminalista.